COVID-19
Brain Inflammation
COVID-19 and the brain
Most of us think of cough and lung symptoms when it comes to COVID-19. However, for some unfortunate patients, COVID-19 can also lead to brain symptoms.
This was first suspected when a few patients who had COVID-19 also had significant neurological symptoms.
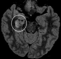
In one well-documented case below, a 24-year-old man sees a doctor with a headache, fatigue, and fever. Nine days later he’s found unconscious in his vomit.
MRI shows that his brain has visible active infections.
In the circled area of the chart below, you can actually see the inflammation taking place.
Case Report
COVID-19 & Brain Inflammation


PresentationA 24 year old man initially presents with headache, fatigue, and fever. 9 days later, he's found unconscious in his vomit.

DiagnosisStiff Neck, COVID-19 RNA in CSF, and MRI findings suggest COVID-19 meningitis.
Imaging
Brain Inflammation
White tissue shows inflammation in the temporal lobe

Case report of COVID-19 and Brain Inflammation: A 24 year old man initially presents with headache, fatigue, and fever. 9 days later, he's found unconscious in his vomit. Stiff Neck, COVID-19 RNA in CSF, and MRI findings suggest COVID-19 meningitis.
Study Source
From the abstract:

"A brain MRI showed hyperintensity along the wall of right lateral ventricle and hyperintense signal changes in the right mesial temporal lobe and hippocampus, suggesting the possibility of SARS-CoV-2 meningitis. This case warns the physicians of patients who have CNS symptoms."
A first case of meningitis/encephalitis associated with SARS-Coronavirus-2
How COVID-19 infects the brain
Because this is such a new virus, scientists don’t yet have a clear answer on what causes brain inflammation. When you get a cold or the flu, you typically aren’t afraid of losing consciousness and getting brain damage. However, COVID-19 appears to be different.
One potential mechanism that has been proposed based on data from other coronaviruses, is that COVID-19 enters the brain through the nose.
Your nose contains direct connections to the brain.
The virus then can affect cells in the brain, though not necessarily neurons
This then causes inflammation as your immune system tries to fight off the virus.
This inflammation can then damage your neurons causing neurological symptoms.
Theory: How COVID-19 Infects The Brain
1. Enters Through Nose
COVID-19 likely first enters through your nose, which connects to the brain
2. Cells Infected
It then infects cells in the brain, though not necessarily neurons.
3. Inflammation
This infection then leads to inflammation from your own immune system.
3. Neuron Damage
Inflammation then damages your neurons, causing symptoms.
Scientists believe that COVID-19 likely first enters the brain through the nose. It then infects cells in the brain, though not necessarily neurons. This infection then leads to inflammation from your own immune system. Inflammation then damages your neurons, causing symptoms.
Study Source
From the abstract:

"Based on the recent evidence for the presence of SARS‐CoV‐2 host cell entry receptors in specific components of the human nervous and vascular tissue, a neural (olfactory and/or vagal), and a hematogenous—crossing the blood–brain barrier, routes have been proposed. "
Possible routes of SARS‐CoV‐2 invasion in brain: In context of neurological symptoms in COVID‐19 patients
Most Common Brain Symptoms of COVID-19
As a result, this manifests itself in a wide variety of brain symptoms.
In a study looking at 125 patients with COVID-19 and brain symptoms, they found that the most common was a stroke. This was expected given COVID-19’s ability to cause clots.
Strangely enough, some patients also had altered mental status and even psychosis. This suggests that COVID-19 and the brain inflammation it causes can actually manifest in psychological symptoms.
COVID-19 & Brain Symptoms
What are the top neurological symptoms?

Among 125 patients in the UK with COVID-19 related brain symptoms:
62%
of patients had a blood flow abnormality, mostly strokes.

31%
of patients presented with altered mental status

8%
of patients had psychosis

Among 125 patients in the UK with COVID-19 related brain symptoms, 62% had strokes or other blood flow issues. 31% had altered mental status, including loss of consciousness and confusion. 8% of patients developed psychosis.
Study Source
From the abstract:

"Altered mental status was the second most common presentation, comprising encephalopathy or encephalitis and primary psychiatric diagnoses, often occurring in younger patients. "
Neurological and neuropsychiatric complications of COVID-19 in 153 patients: a UK-wide surveillance study
Of course, all of this research is still early and there’s so much more to be learned about this mysterious virus. Fortunately, the more severe symptoms are rare particularly in the young and those without pre-existing conditions.
What we do know is that it’s more important than ever to stay safe and stay distanced.

Top Articles

New Articles